Lisfranc injury
A Lisfranc injury occurs when bones break or ligaments tear in the middle region of the feet. You might need surgery.
Lisfranc Midfoot Injury Orthoinfo Aaos
What is a Lisfranc Injury.
. A Lisfranc sprain is a rare condition thats often misdiagnosed. In a Lisfranc joint injury there is usually damage to the cartilage covering these bones. Lisfranc injuries encompass large spectrum of injuries varying from low energy to high energy complex fracture dislocations.
Even a minor slip and fall can cause serious injury. Shop medical-grade braces and supports. When accompanied by a fracture this joint injury accounts for less than 1 of all fractures per year.
Ad No need to leave your house or go to the doctor. Ligaments and tendons in this area can be sprained and the bones. This particular type of injury is commonly seen in football players motorcyclists and horseback riders.
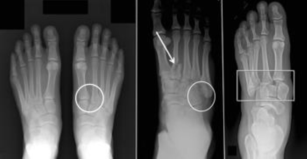
Five of these long bones the metatarsals extend to the toes. Lisfranc Injury any fracture or dislocation of the tarsal-metatarsal joint. Sometimes mistaken for a sprain a Lisfranc injury is not that simple and may require surgery.
2 Awareness and a high degree of clinical suspicion is vital for this diagnosis as it has been estimated that 2040 of Lisfranc injuries. Lisfranc injuries can also result simply from missing the last step on the stairs. Most people need to wear a cast or boot for six to 12 weeks and it can take a year or more to return to intense exercise like running.
Therefore this study aims to provide a simplified treatment algorithm allowing. Symptoms of a Lisfranc injury may include swelling of the foot pain throughout the midfoot upon standing or during examination inability to bear weight bruising on the bottom of the foot in the arch area and. Often mistaken for an ankle sprain a Lisfranc injury is more serious in nature and may take many months to heal.
Fast Free Shipping on Orders over 35. Injury to the tarsometatarsal joint commonly referred as the Lisfranc joint is a relatively rare occurrence. A Lisfranc midfoot injury occurs when the ligaments supporting the midfoot are damaged or the bones in the midfoot metatarsals are broken.
2nd metatarsal is held in mortice created by the three cuneiform bones. Whilst multiple complex classification systems exist. Like all fractures the treatments youll need and your recovery time will depend on the severity of your original injury.
The severity of this orthopaedic condition can range from minor to complex if many joints are involved. The Lisfranc joint complex named for the French surgeon who first described it in the 1800s includes the five metatarsal bones along with the tendons and ligaments that connect the mid-foot to the forefoot and form the arch at the top of the foot. A Lisfranc joint injury is a type of injury to the bones or ligaments or both in the middle part of your foot.
These do little to aid and direct the clinical management of patients. Lisfranc ligament attaches 2nd metatarsal to medial cuneiform. A Lisfranc fracture is a type of broken foot.
Dorsalis pedis may be injured in severe dislocation. In the middle region of your foot midfoot a cluster of small bones form an arch. Injury to 2nd metatarsal often results in dislocation of the other MTs.
1 However it is considered a red flag condition in general practice because of the debilitating consequences of a missed diagnosis.
Lisfranc Injury Orthopaedic Trauma Association Ota
Lisfranc Midfoot Injury Orthoinfo Aaos
Lisfranc Injury A Matter Of A Few Millimeters
Lisfranc Injury Upswing Health Upswing Health
Lisfranc Midfoot Injury Orthoinfo Aaos
Lisfranc Injuries Footcare Friday Alpine Orthopedics And Sports Medicine Orthopedic Surgery
Lisfranc Injuries Foot Health Facts
